
Join the hundreds of patients who have trusted our specialist orthodontic care to help them achieve a beautiful, straight smile! Fixed metal braces give a reliable and effective straightening journey – start yours by getting in touch with us today!
Contact us

Our payment plans can give you the opportunity to spread the cost of your fixed metal braces into monthly instalments, subject to status. This type of appliance is also provided on an NHS basis for eligible patients. Please talk to us to find out more!
Get in touch
Metal braces are an excellent and very reliable option for straightening your teeth, with no risk of losing your braces or disrupting treatment.
Fixed metal braces are highly effective at correcting a wide range of tooth alignment and other orthodontic problems, even in complex cases.
As they carefully control tooth movement and cannot be removed during treatment, fixed braces ensure accurate alignment and results.
Metal braces are one of the most affordable orthodontic options, usually more cost-effective than clear aligners or lingual braces.
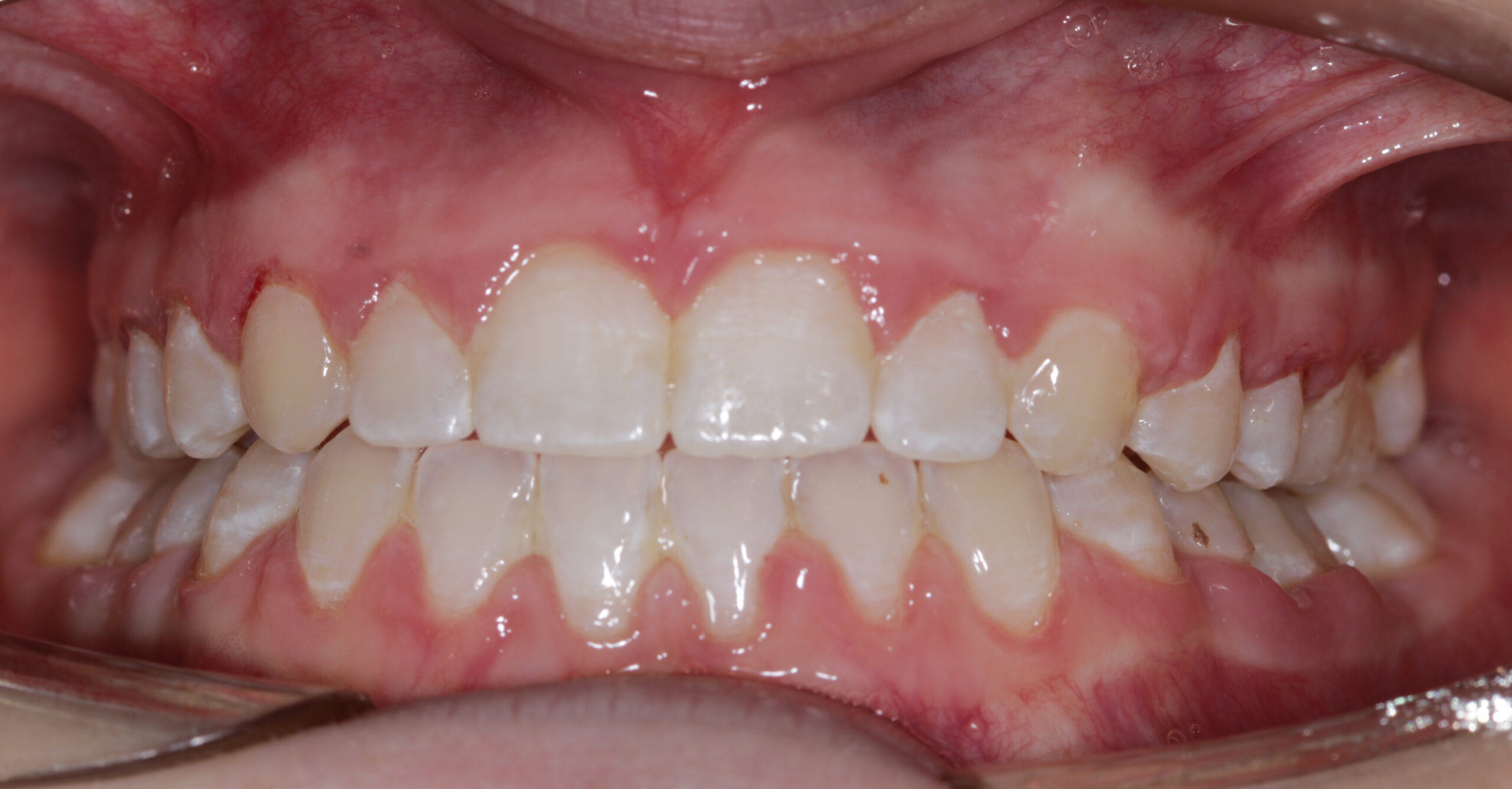
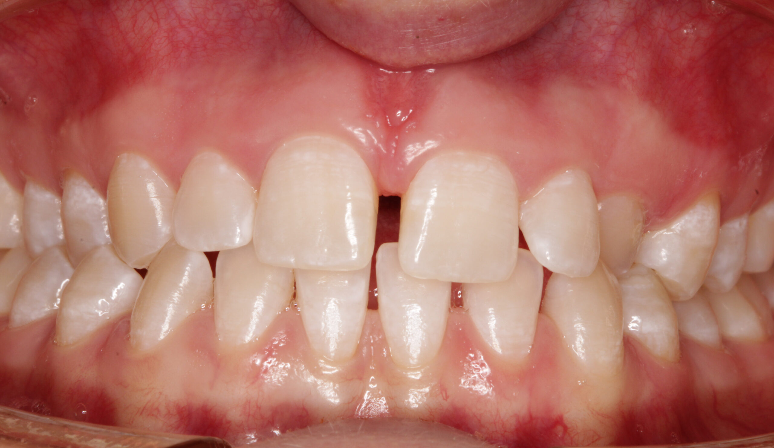
Fixed metal braces are the appliances most people traditionally associate with teeth straightening. They are versatile and reliable, able to correct orthodontic problems such as misalignment, crowding, and bite issues with predictable ease.
Metal brackets are strong and durable, and are bonded to your teeth for the duration of treatment. Although they are visible when you smile and talk, metal braces are now smaller, making them more comfortable to wear. This option is suitable for most patients and can produce excellent, long-lasting results.
Book your consultation today

We start with a detailed orthodontic consultation, where we assess your teeth and gums to make sure you are suitable for fixed metal braces. We ask you about your ideal results and explain how we can help you achieve these with our specialist orthodontic treatment. You are also given a chance to ask us any questions!

Using our advanced equipment, we take scans and images of your teeth so your metal brackets can be custom-made. They are bonded to your teeth using strong and safe dental adhesive, with a wire threaded through to connect them.

As soon as they are placed on your teeth, your braces begin to work. Gradual and gentle forces are applied to slowly move the positions of your teeth until your dream smile is achieved. You have regular appointments with us in the clinic so we can make adjustments to your braces and check everything is on track for incredible results.

At the end of your treatment, we remove the brackets from your teeth and reveal your beautiful straight smile! We make sure you are delighted with your results and give you some advice on how to keep your teeth straight, including how to wear your retainer most effectively.
Fixed braces work using brackets attached to your teeth, which act as anchors for the wire threaded through. The wire applies gentle and consistent pressure on your teeth, gradually moving them into the correct alignment over time.
The length of fixed brace treatment varies depending on the complexity of each case, but results are usually seen in anything from 18 months to 3 years. Mild cases may be completed in a quicker time.
Fixed metal braces are generally comfortable to wear day-to-day, and the fitting process doesn’t hurt. At first, and after each adjustment, you will likely feel some discomfort or soreness, but this is temporary and can be managed with over-the-counter pain relief as advised. It is also a good sign your treatment is working!
It is really important to clean your fixed braces carefully to prevent any build-up of bacteria and decay on your teeth. Use an interdental brush to clean between your teeth, next to your brackets, and under the wire. You should also clean the surface of your teeth and brackets with a normal soft-bristled toothbrush.
While you have fixed braces on your teeth, you should avoid eating very hard, sticky and chewy foods, such as caramel, nuts, crusty bread and hard sweets. These could cause damage or breakages, which can disrupt your treatment. You should also refrain from eating sugary snacks or drinking fizzy drinks to keep your teeth and gums as healthy as possible.
Yes, you will need to wear retainers after your fixed braces are removed to keep your teeth in their new straight positions. We can advise whether fixed or removable retainers would be best suited for your teeth and lifestyle.
*Fixed metal braces are also available on the NHS for eligible patients.
**Subject to status, terms and conditions apply.
Made and marketed with by Dental DesignLast updated in: February 2026