
At Dorchester Orthodontic Clinic, we believe in helping every patient achieve a confident and beautiful straight smile. Our specialist orthodontists and wider team deliver bespoke treatments with exceptional results for every patient. Trust our years of orthodontic experience and caring, patient-focused approach to help you reach your unique smile goals.
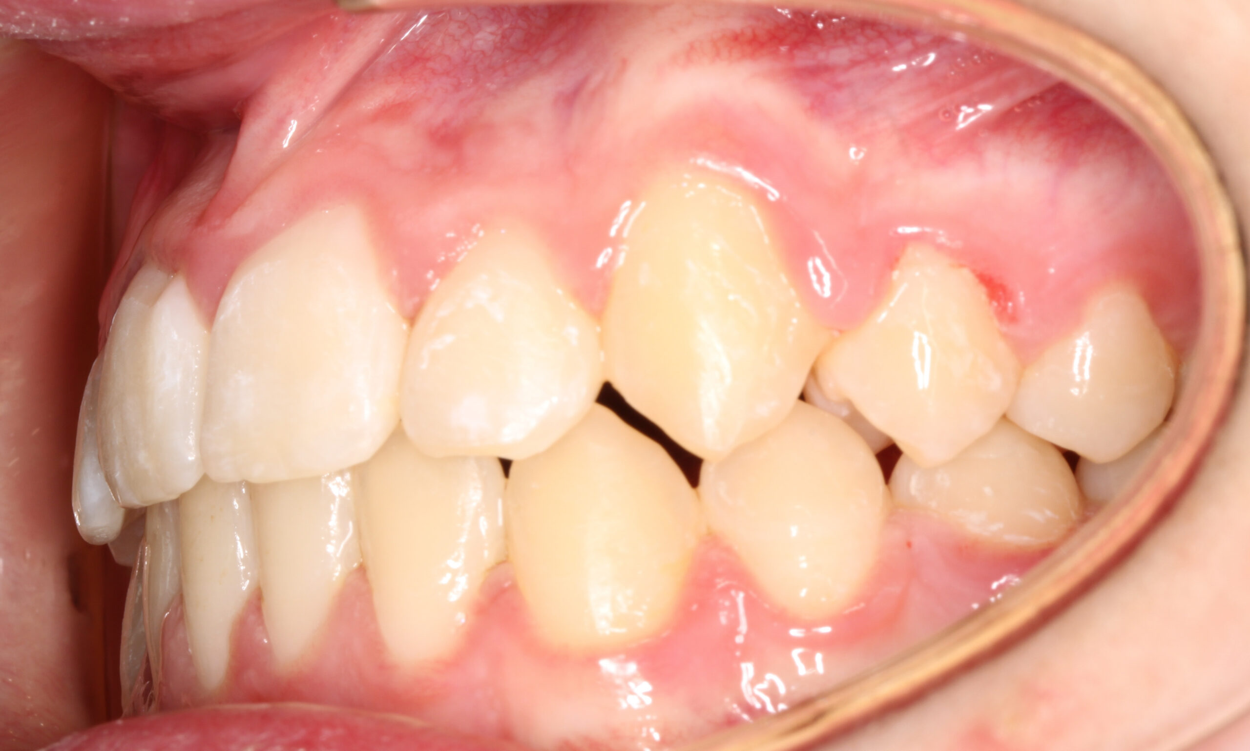
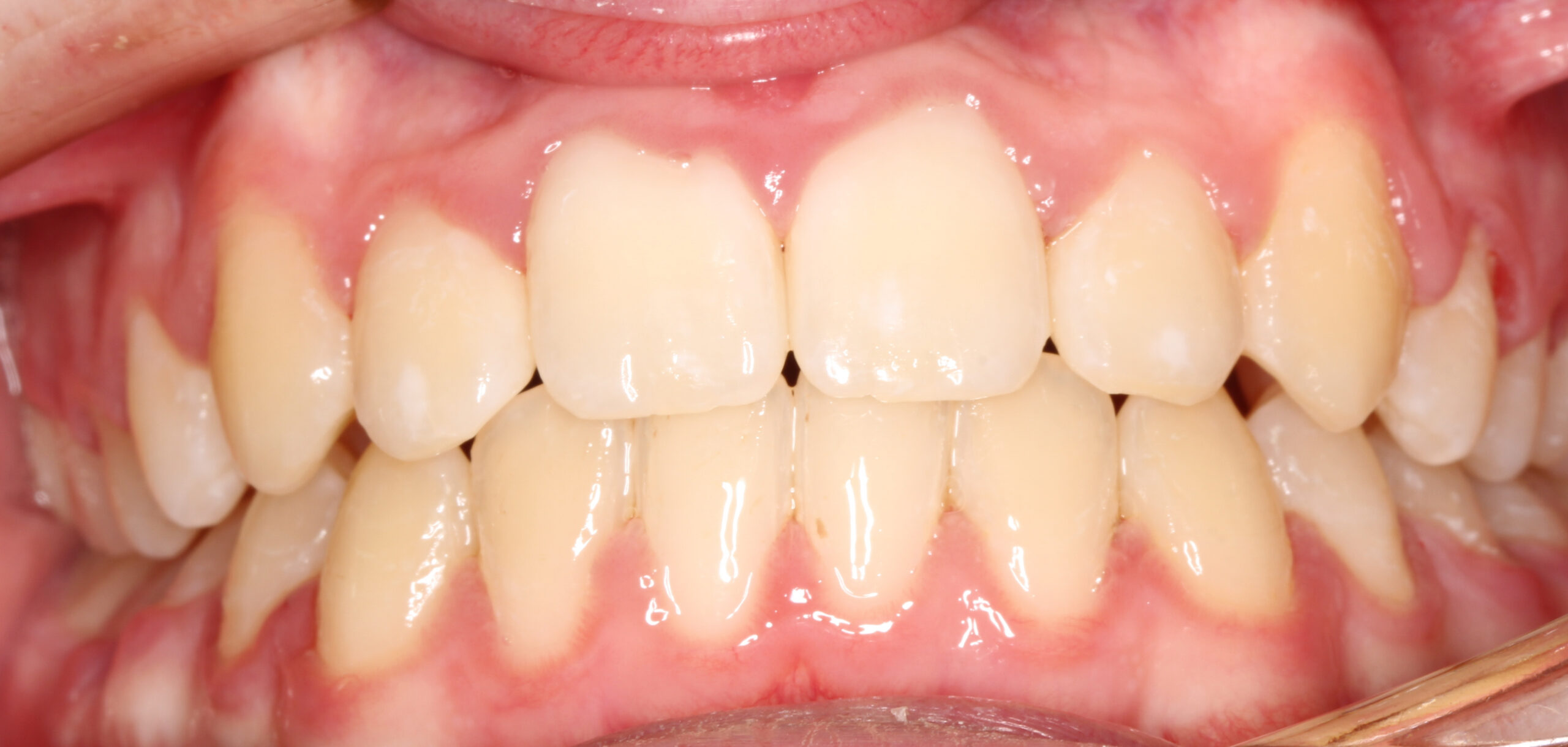
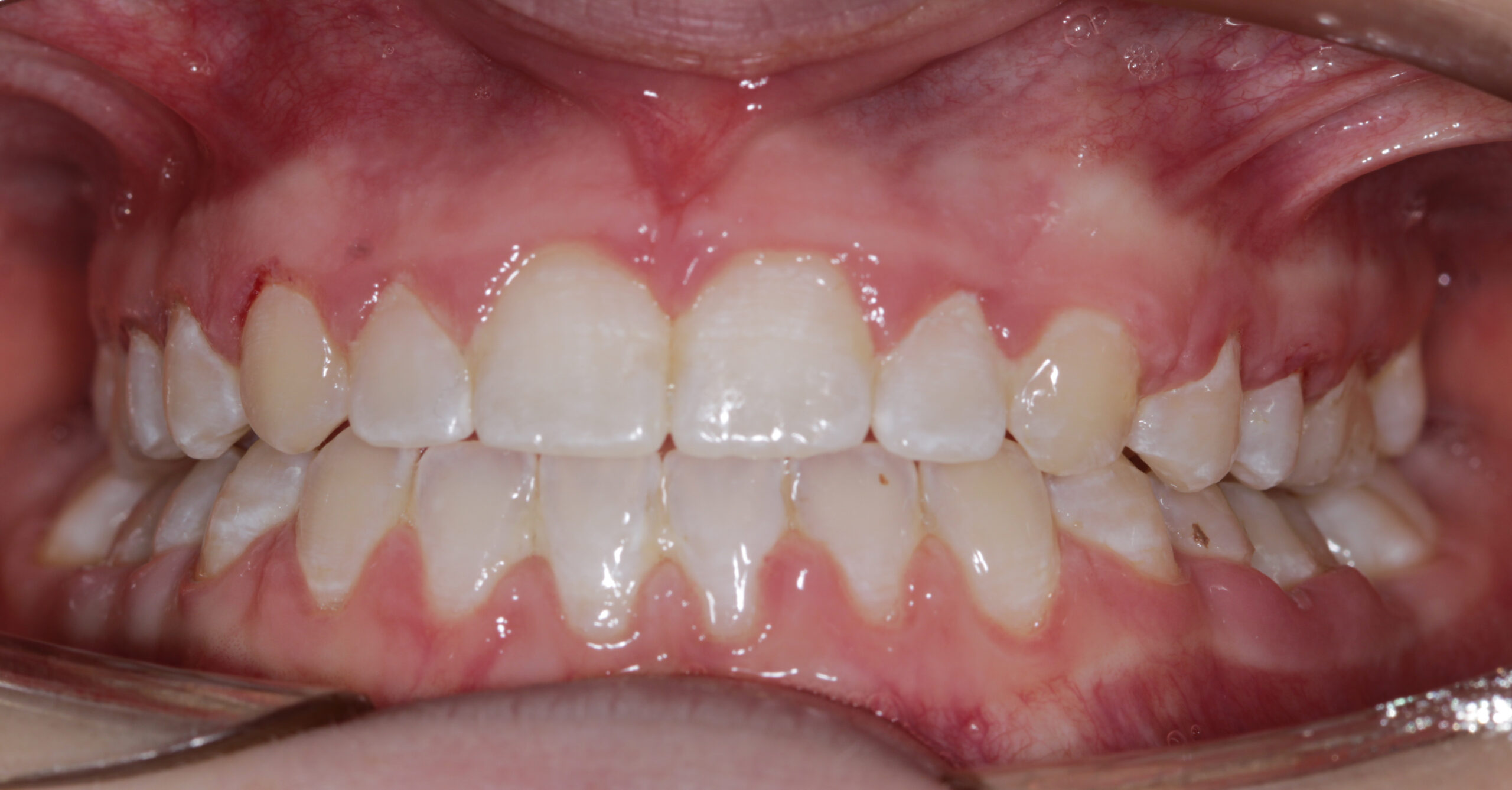
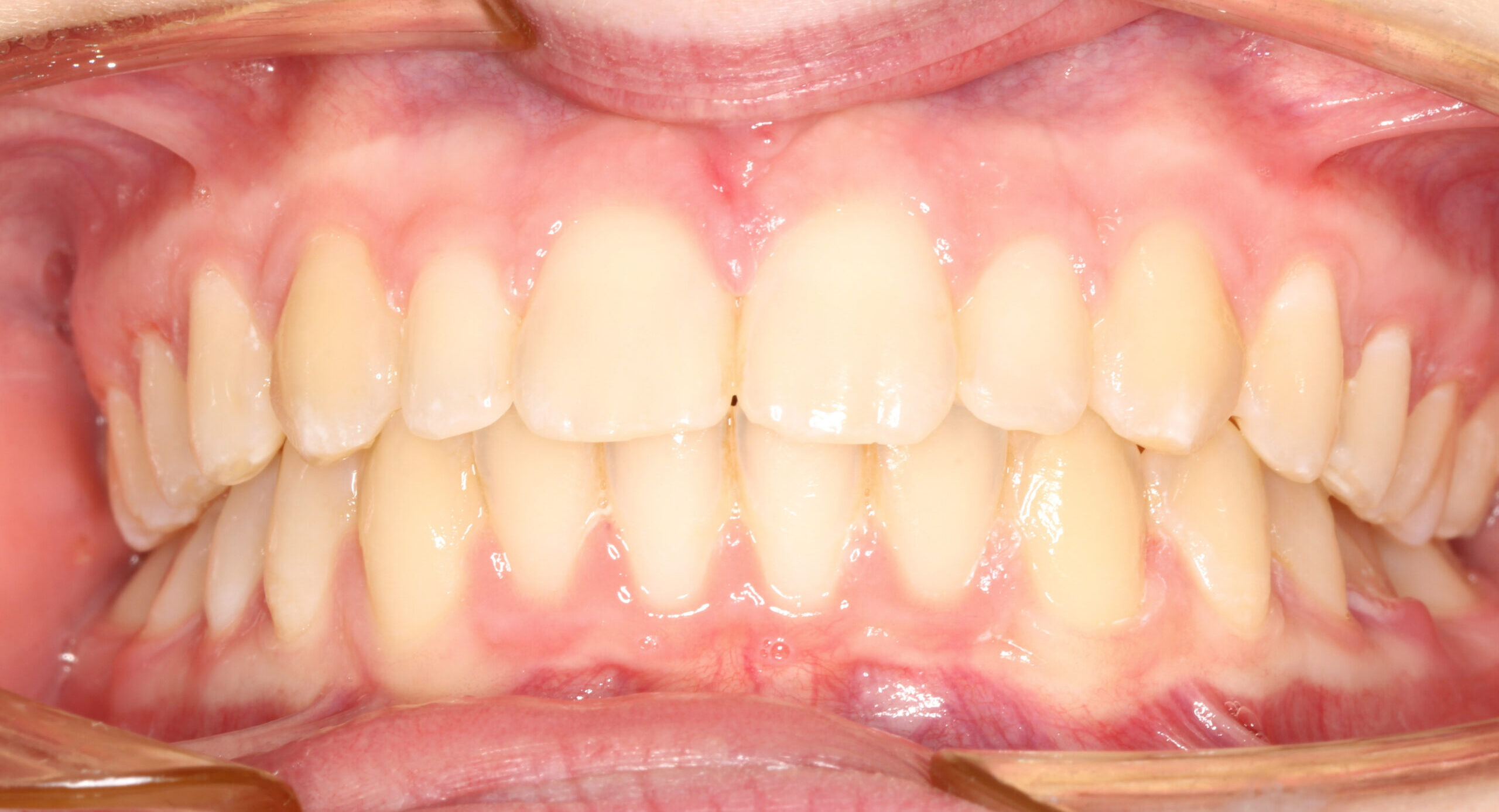
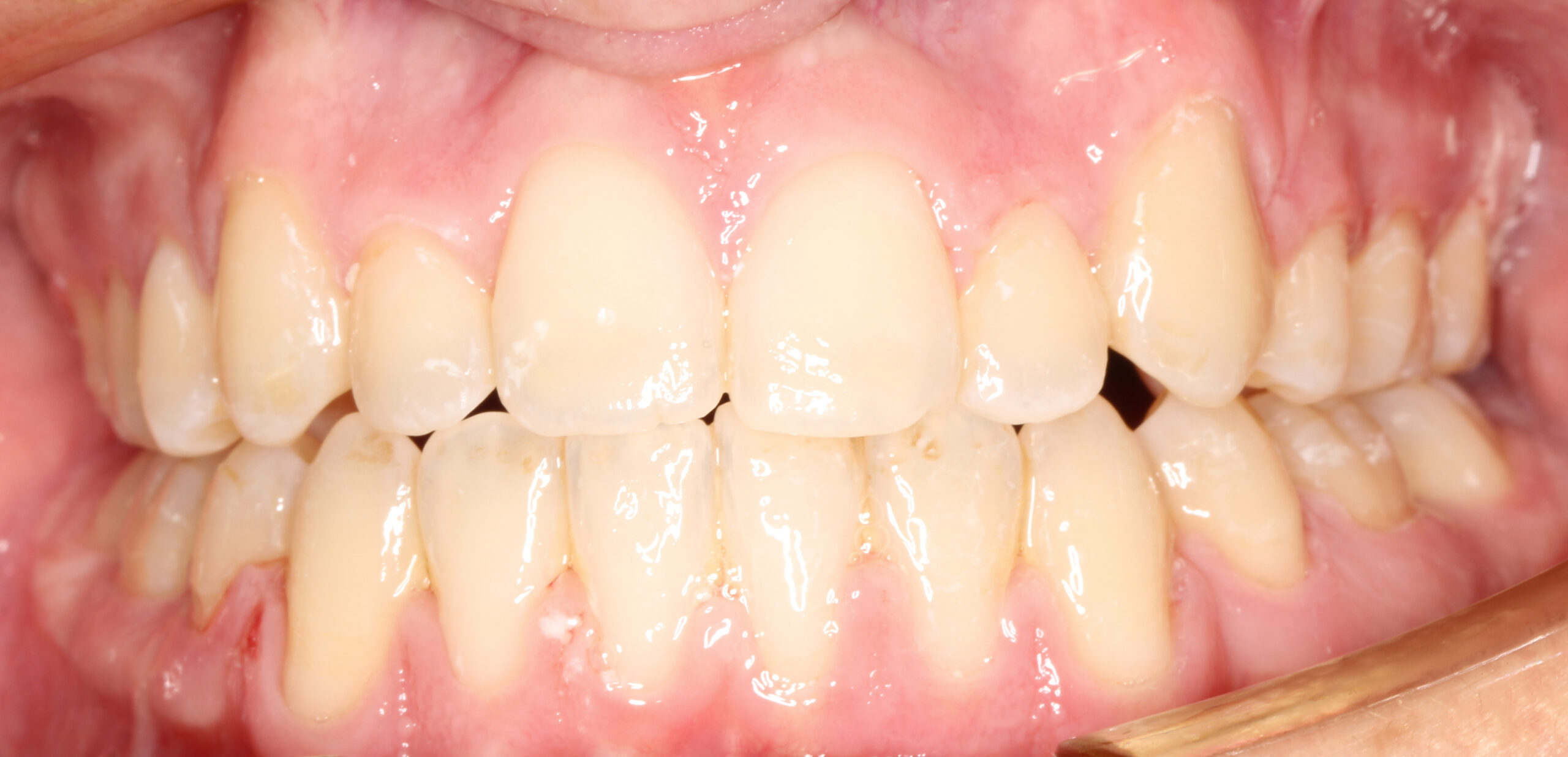
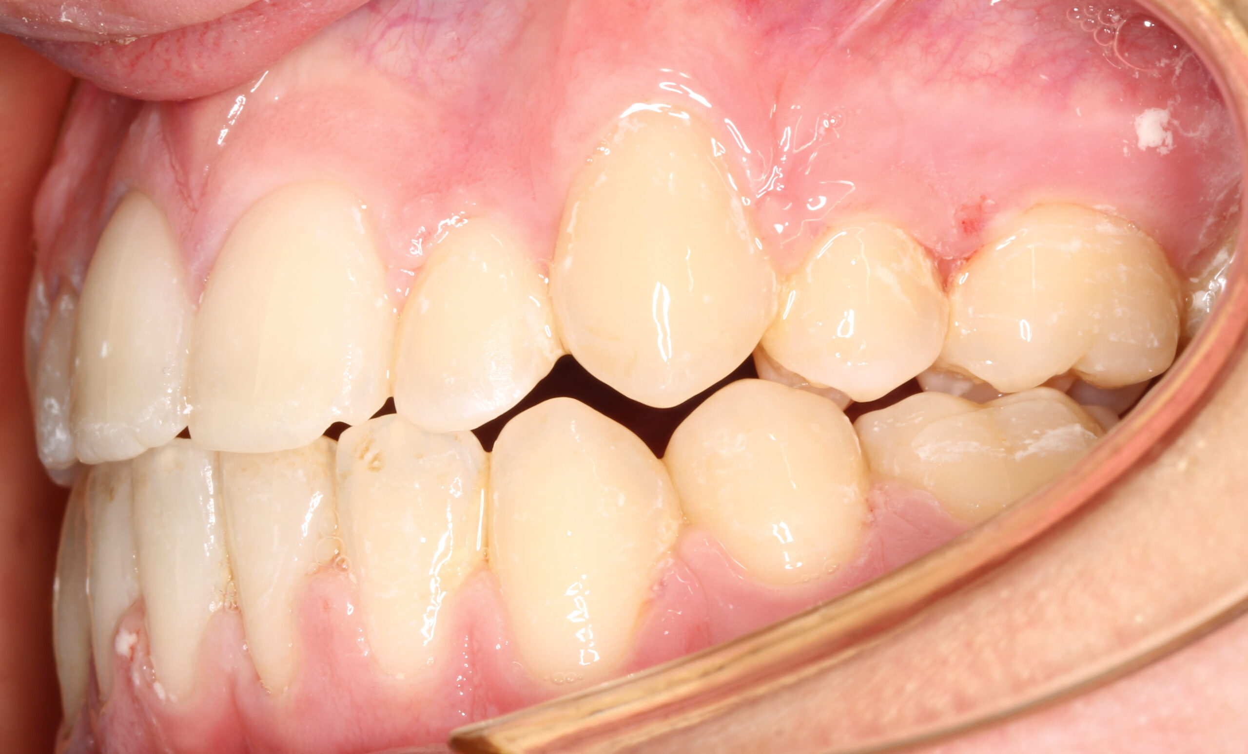
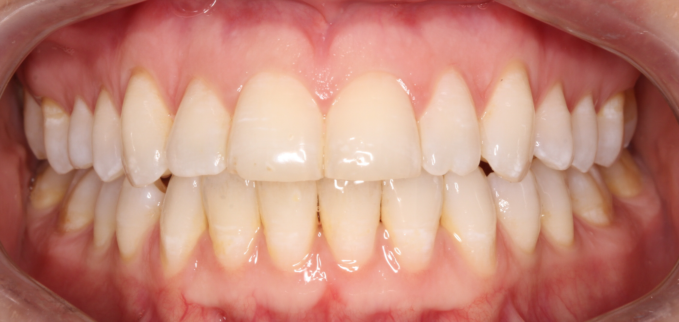
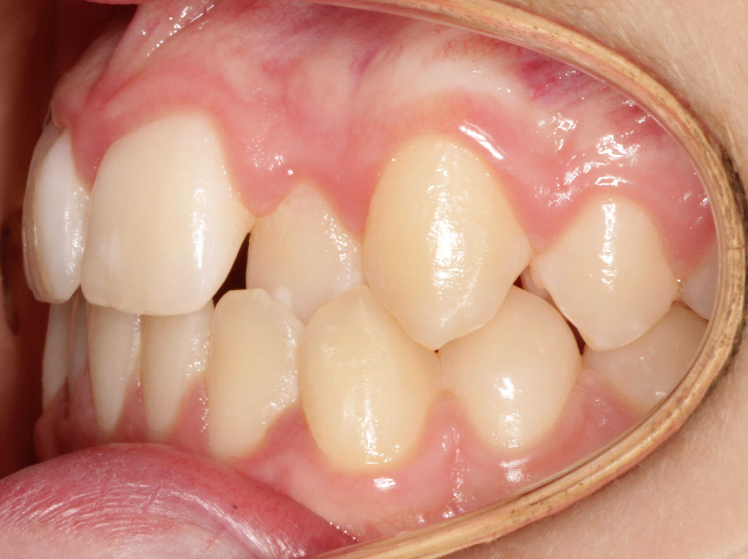
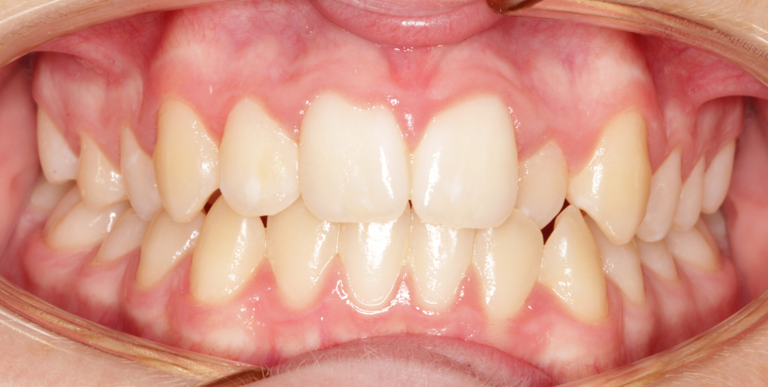
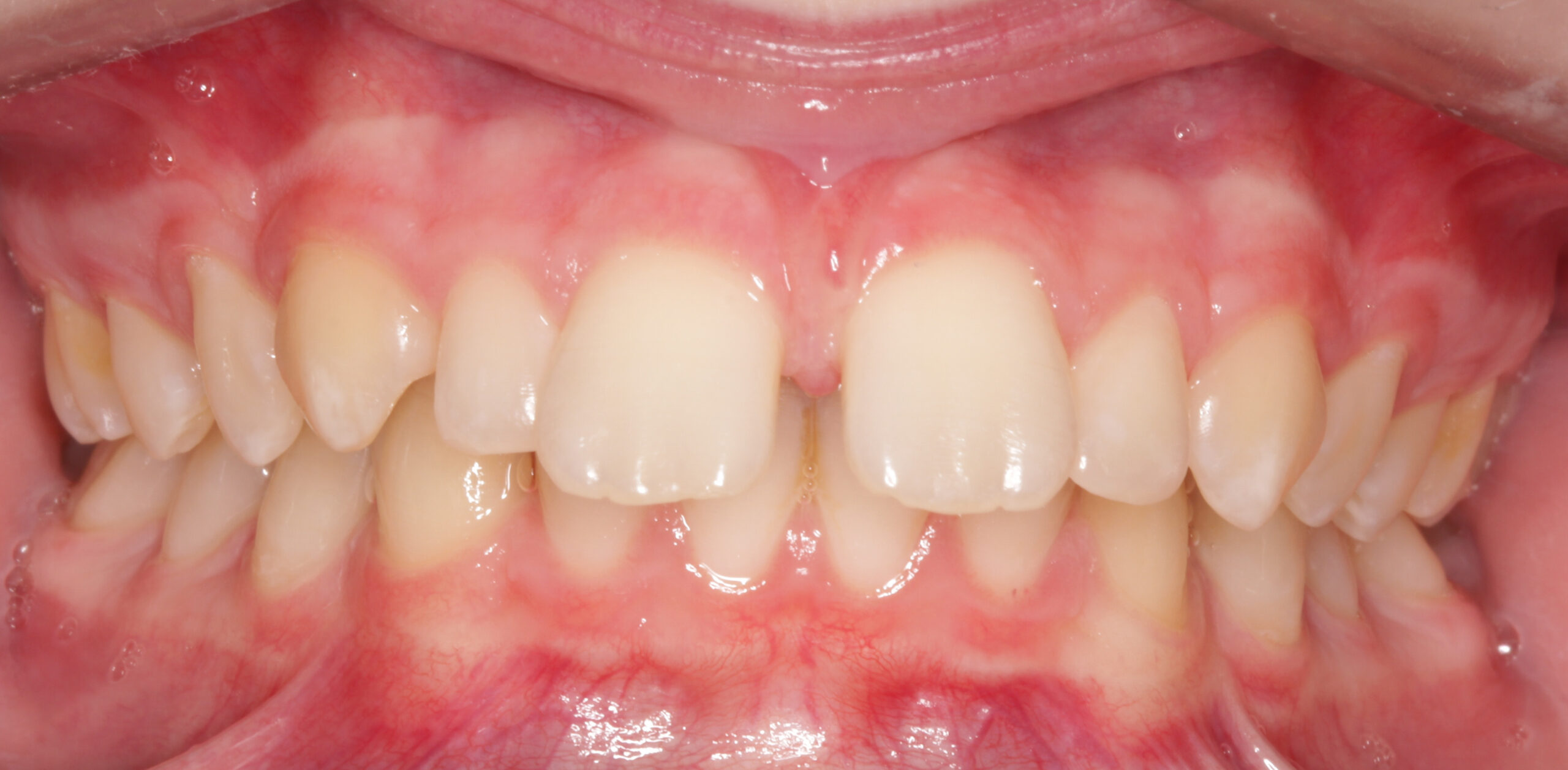
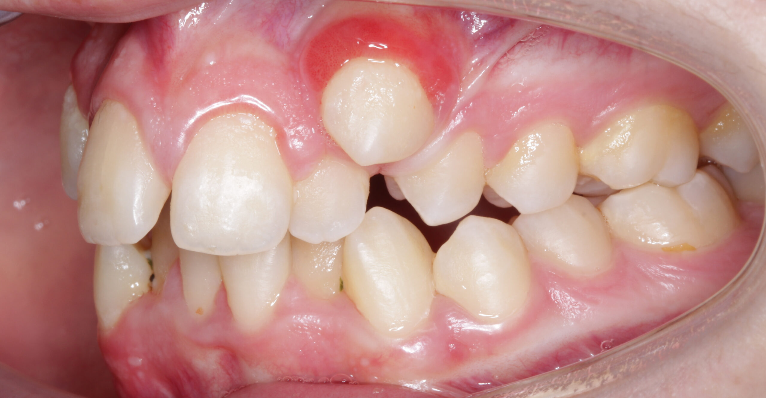
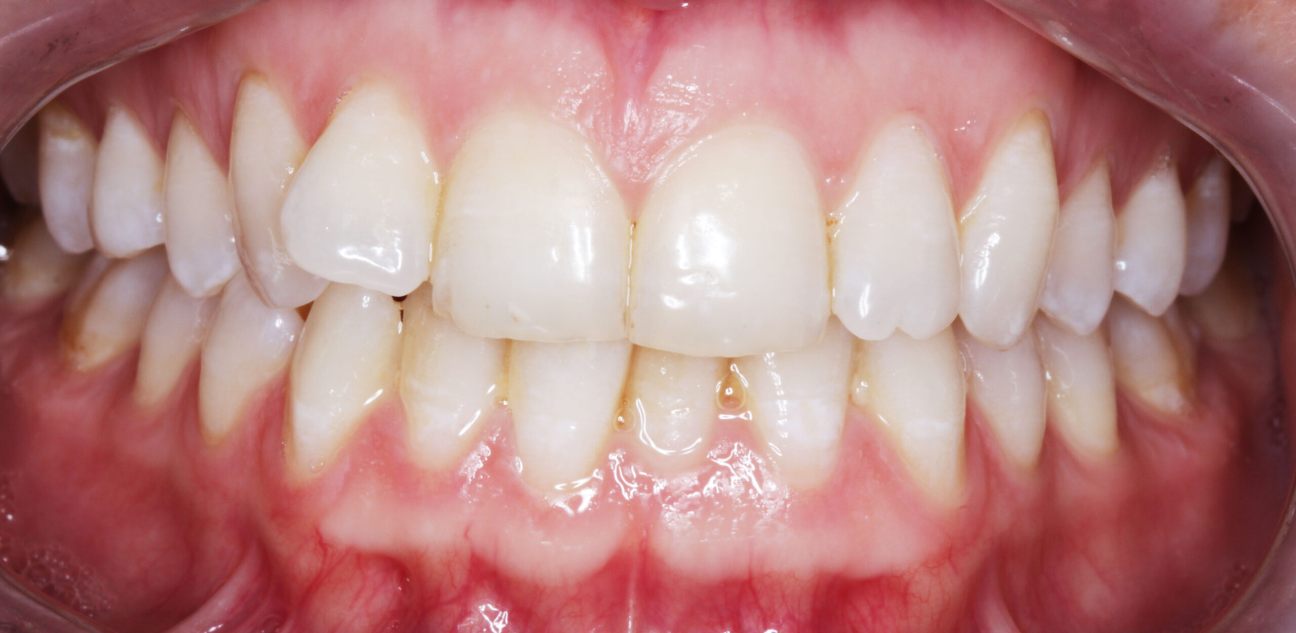
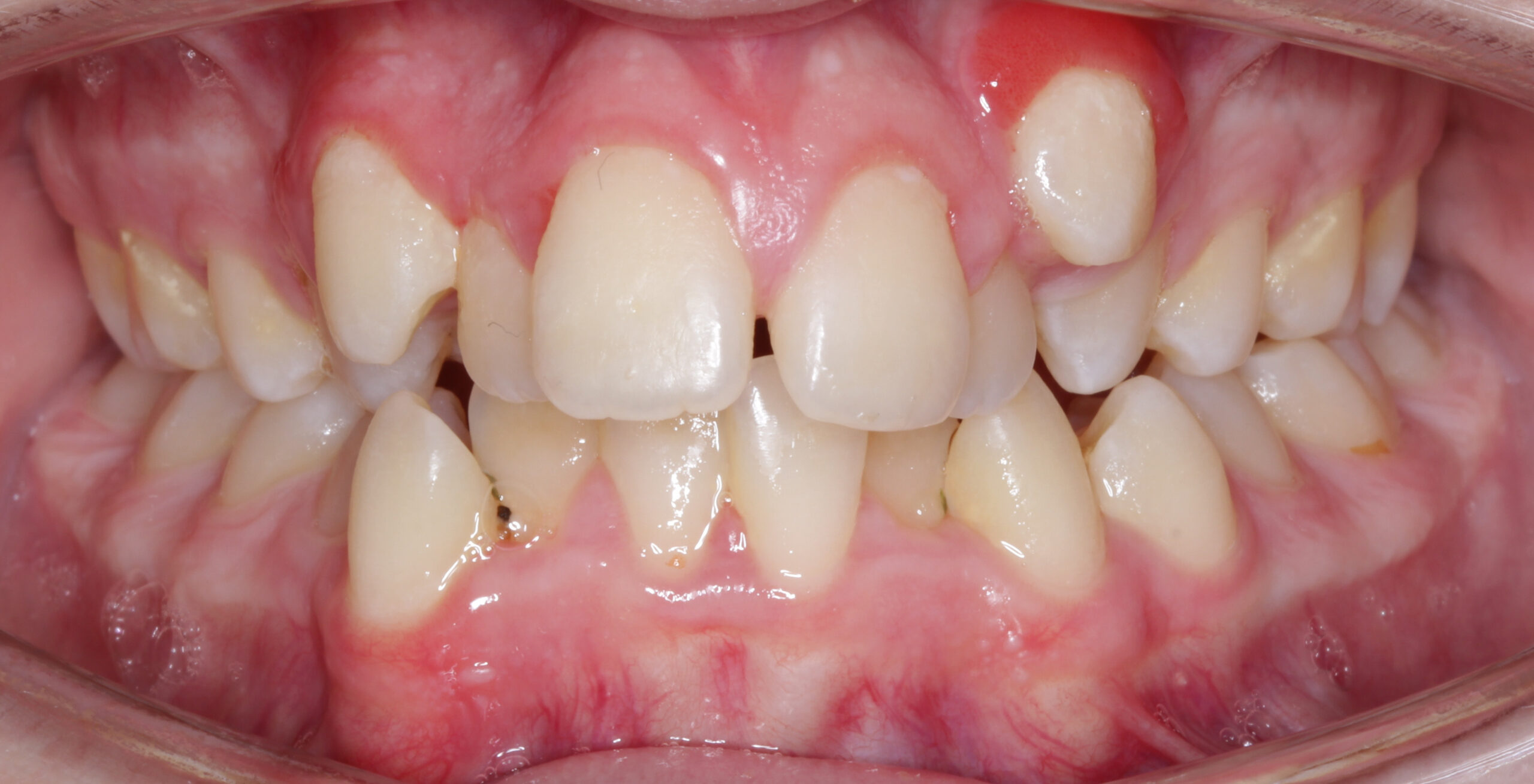
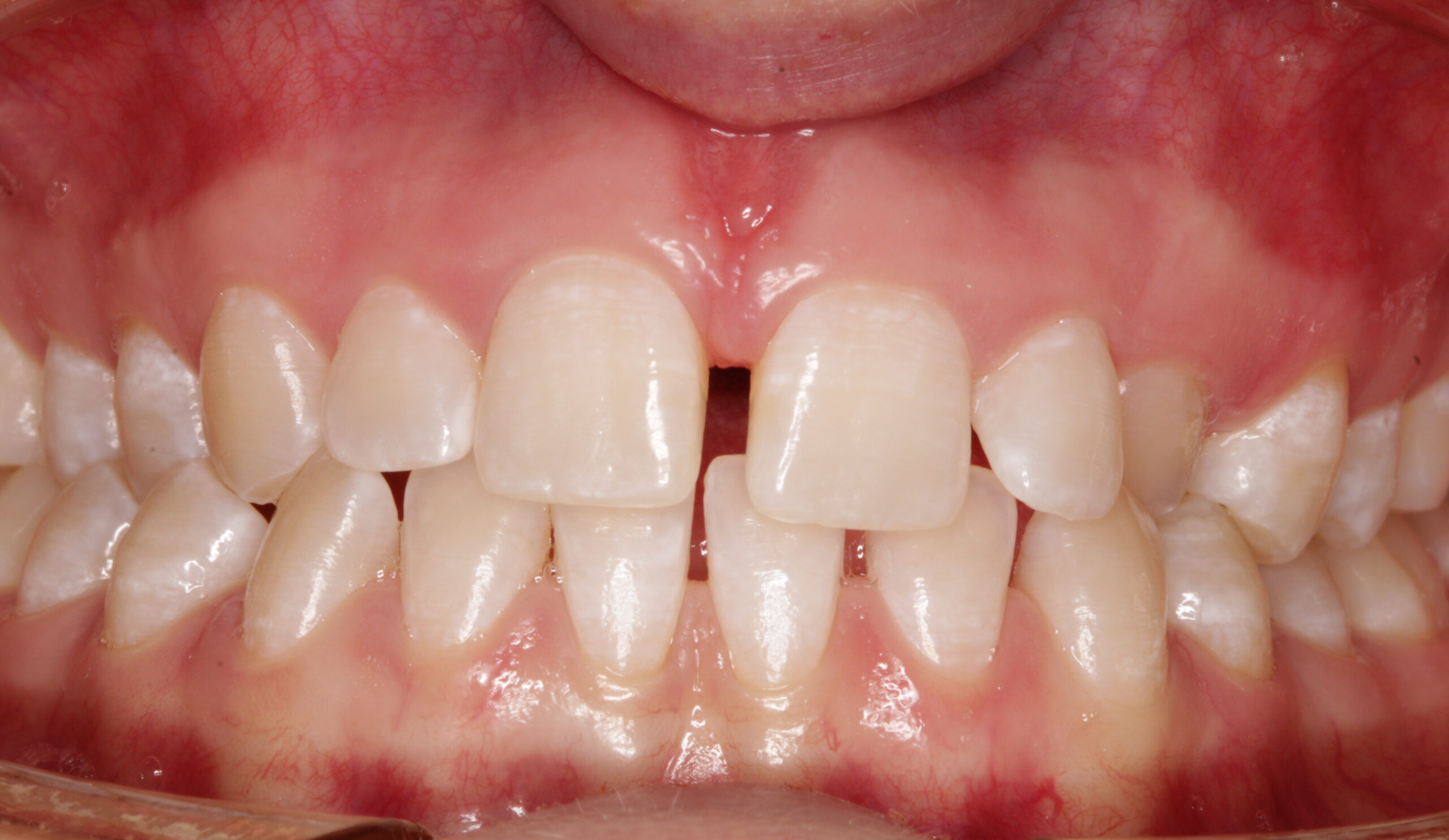
View a selection of our many successful past cases below. Start your orthodontic journey with us – book your appointment today!










With our tailored advice and support throughout your orthodontic journey, your treatment with us is easy. We offer detailed instructions to make wearing your braces or clear aligners comfortable and problem-free. Talk to our friendly team if you have any questions about your treatment – we’re happy to help!
Patient information
Made and marketed with by Dental DesignLast updated in: February 2026